The Arthrex Univers Revers™: A Historical Perspective
Authors: Anthony Romeo, MD and Brian Cohen, MD
More than a decade ago, Arthrex initiated the Univers Shoulder Arthroplasty System in the United States. Total joint replacement was new to the Arthrex product line at that time, but the Univers reflected the typical innovation and creative shoulder product development that has set Arthrex apart from its competitors. Now, a decade later, Arthrex is introducing its newest addition to the Univers System, the Revers Total Shoulder Arthroplasty System. This unique system is the result of more than four years in design and development, beginning with the collaboration between incredible engineers, product managers, Peter Habermeyer and myself, with many contributions from other innovative surgeons, including Dr. Brian Cohen from Chillicothe, Ohio. The Univers Revers development was stimulated by the need for a system that could help surgeons treat their patients better when the rotator cuff function is deficient or absent, especially if the glenohumeral joint was arthritic.
There is an old adage that says there are three sides to every story “your side, my side and then the truth.” When there is incomplete data, we make decisions based on our experience, the experience of others, and whatever scientific data is available to provide a framework for our surgical plan. The use of the reverse shoulder replacement for the treatment of the various shoulder pathologies is not protected from this concept, and in fact, it is the belief that there exists more than one way to accomplish the surgical goal of a stable joint that provides the potential for maximum function that leaves the discussion on neck angles, lateralization, inferior tilt, cemented vs. press-fit, two screws, three screws or four screws for baseplate fixation, an open-ended question.
The Arthrex Univers Shoulder Arthroplasty System was designed and developed to answer the many questions that remain, as well as avoid complications of previous systems. It is the versatility of the Arthrex Univers Revers that makes this system unique in its field. It allows the surgeon to use their understanding of what is important to achieve a successful reverse shoulder replacement for their patients and maximize the options of the Arthrex Univers Revers system to accomplish this ultimate goal.
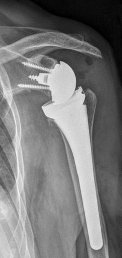
On the glenoid side, the surgeon can choose from three baseplate sizes, to fit their patient’s glenoid anatomy. There is no concern of over or under sizing and the three options allow the surgeon to also accomplish maximum screw fixations with the three locking screw design (4.5 mm locking screws superior and inferior and a 6.5 mm central locking screw). This is the only system available that offers three glenosphere diameters (36 mm, 39 mm, 42 mm). For each size there are three glenosphere options (central, lateralized and offset). Although at “face value” all these options may be “dizzying,” it is in fact this variety that gives the orthopaedic shoulder surgeon the ability to address the expanded indications for a reverse shoulder patient head on, and removes the need to fit a “square peg into a round hole.”
On the humeral side, the two available neck angles (135 degree and 155 degree) once again give the surgeon options that are not available in other systems. The clinical concern of scapular notching is becoming more evident with our critical evaluation of patients treated early on with the reverse shoulder and the 135-degree neck angle has definitely shown to decrease the incidence of scapular notching. In fact, it was during one of the first revision cases that the surgeon was unable to reduce the 155-degree humeral trial and by simply adjusting the humeral implant angle of the trial to 135 degrees, reduction was easily accomplished. This eliminated the need for the surgeon to have to use a smaller diameter glenosphere and risk exposing their patient to an increased risk of instability.
It is well recognized that the amount of offset seen in the proximal humerus has a wide range from anterior to posterior. The Arthrex Univers Revers has a unique ability to address humeral offset, allowing the component to sit centrally in the patient’s humeral metaphysis, which allows forces across the glenohumeral joint to be evenly distributed. Finally, the “trapezoidal” design of the metaphyseal portion of the humeral component gives it the ultimate press-fit fixation within the proximal humerus, avoiding the need for cement in the majority of cases.
In closing, the ability to achieve a successful outcome after reverse shoulder arthroplasty is dependent on many factors, including the surgeon’s own experience and ability to adjust the procedure to their concepts and the patient’s pathology. The surgeon’s skill at addressing these variables comes not only from their training, but also from their intra-operative and postoperative experiences. The Arthrex Univers Revers Shoulder replacement system gives the surgeon the tools and the flexibility to accomplish their goals based on their training and their experiences, helping them treat their patients better than ever before.
